Situé à Quint-Fonsegrives, nous vous accueillons dans un cadre moderne et apaisant, où une écoute attentive et une expertise bienveillante sont au cœur de notre approche.
Nos traitements, adaptés et entièrement personnalisés, sont pensés pour prendre soin de votre santé bucco-dentaire.
Notre cabinet vous propose des soins dentaires pour tous, allant de la prévention aux traitements spécialisés, assurés par des praticiennes expérimentées et attentives à votre santé bucco-dentaire.
Chaque patient bénéficie d'une écoute attentive, d'un plan de traitement individualisé et complet pour une prise en charge adaptée à ses besoins et à son bien-être.
Découvrez l'ensemble de nos soins et traitements dentaires, assurés par une équipe qualifiée et réalisés grâce à des équipements de dernière génération. Pour toute question relative à votre prise en charge, notre équipe vous accompagne pour optimiser votre santé bucco-dentaire.
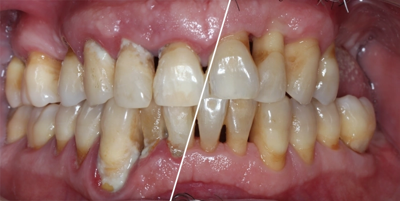
AVANT
APRÈS
Notre équipe est constituée de trois chirurgiens-dentistes qui ont pour seul objectif de préserver votre santé bucco-dentaire. De votre première consultation jusqu'au résultat final, chaque soin est pensé pour votre confort, votre santé et votre sourire.
Dentiste très attentionnée et professionnelle. Elle m'a envoyé voir un professionnel dont je ne connaissais même pas l'existence pour sauver ma dent et ça a marché. Merci encore.
Je voudrais remercier le Docteur DENJEAN CABROL de s'être installée à Quint. Son professionnalisme, son sérieux, ses soins méticuleux… elle prend bien soin de mes dents.
Je suis enchanté des soins portés ainsi que de l'accueil et du professionnalisme de toutes les personnes qui y travaillent. Un cabinet que je recommande chaleureusement.
Réservez votre consultation en quelques clics directement sur l'espace Doctolib de votre praticienne :
Vous pouvez contacter l'accueil du cabinet pendant les horaires d'ouverture :
📞 05 62 16 25 27